Startseite 
Information für Patienten
Information für Überweiser
Einsatzgebiete
Ihr Weg zu uns
Kontakt
HNO

Für folgende Fragestellungen ist die DVT speziell geeignet:


Hals-Nasen-Ohrenheilkunde
  • Chronische Nasennebenhöhlenentzündungen
  • Häufig wiederkehrende Nasennebenhöhlenentzündungen
  • Polypen der Nasenhaupthöhle
  • Unklare Gesichtsschmerzen
  • Verdacht auf Fehlbildungen der Nase und der Ohren
  • Chronische Mittelohrerkrankungen
  • Unklare Hörverschlechterungen
  • Verletzungen im Mittelgesicht
Zahnärztliche Prothetik / Implantologie
  • Informationen zur Pfeilerwertigkeit
  • Quantitatives und qualitatives Knochenangebot
  • Darstellung der Nervenaustrittspunkte
  • Knöcherne Erkrankungen des Kiefergelenks
  • Planung implantologischer Versorgungen
  • Exakte Positionierung von Implantaten
  • Erstellung von Bohrschablonen
Kieferorthopädie
  • Diagnostik von Anomalien des Zahnbestandes
  • Diagnostik von Anomalien und Dysplasien der Zahnwurzel
  • Differentialdiagnostische Bewertung von Zahndurchbruchstörungen
  • Darstellung des peridentalen Knochenangebotes zur prognostischen Bewertung geplanter Zahnbewegungen
  • Diagnostik craniofazialer Fehlbildungen
Mund-, Kiefer-, Gesichtschirurgie
  • Lagebeziehungvon Weisheitszähnen zum Unterkiefernerv oder der Keilbeinhöhle
  • Diagnostik von Knochenveränderungen wie Zysten oder Granulomen
  • Zahnanomalien
  • Veränderungen des Knochens von Zahnbetterkrankungen
  • Feststellung von Kieferhöhlenerkrankungen
Chirurgische Zahnheilkunde
  • Wurzelfrakturen
  • Alveolarfortsatzfrakturen
  • Intraossäre pathologische Veränderungen
  • Größere periapikale knöcherne Läsionen
  • Lageanomalien von Zähnen
Funktionsdiagnostik und -therapie
  • Ausschluss primärer Kiefergelenkerkrankungen
  • Erfassung differential-therapeutischer Befunde
Endodontie
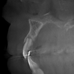
  • Apikale Veränderungen
  • Wurzelfrakturen
  • Wurzelresorptionen
Paradontologie
  • Visualisierung der dreidimensionalen paradontalen Morphologie



Klinische Fallbeispiele



Keratozyste des UnterkiefersLippen-Kiefer-GaumenspaltePräimplantäre Diagnostik Unterkiefer
Präimplantäre Diagnostik OberkieferSinusbogenaugmentationKiefergelenk
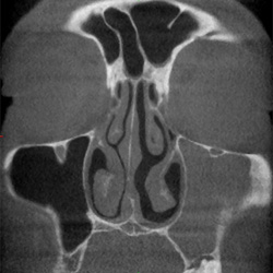
Dentogene Sinusitis maxillaris rechtsDentogene Sinusitis maxillaris links
mit Osteolysesaum um Zahnwurzel
Kieferhöhlenwandfraktur
Elektrodenkontrolle nach
Cochlear Implantation
Volumenbestimmung
der Kieferhöhlen
Osteosynthese nach
Mittelgesichtsfraktur
Chronisch polypöse Pansinusitis linksMukozele im linken Siebbein
mit Unterbrechung der Frontobasis
Z.n. Pansinus-Operation